Roshe Dental Group
Alexander Roshe DDS
Home
About
Our Team
Technology
Services
View All
General Dentistry
Crowns and Bridges
Tooth-Colored Fillings
Dental Implants
Root Canal Treatment
Clear Aligners
Orthodontics
Cosmetic Dentistry
Family Dentistry
Emergency Dentistry
Nitrous
Smile Gallery
Patient Info
View Patient Info
Testimonials
Your First Visit
Post-Operative Instructions
Financial
Specials
FAQs
Contact
Roshe Dental Group
Alexander Roshe DDS
Schedule Today
Like us on Facebook
Leave a Google Review
Instagram
(914) 437-7676
Roshe Dental Group
875 Mamaroneck Ave Suite 203
Mamaroneck, NY 10543
Roshe Dental Group
>
Smile Gallery
>
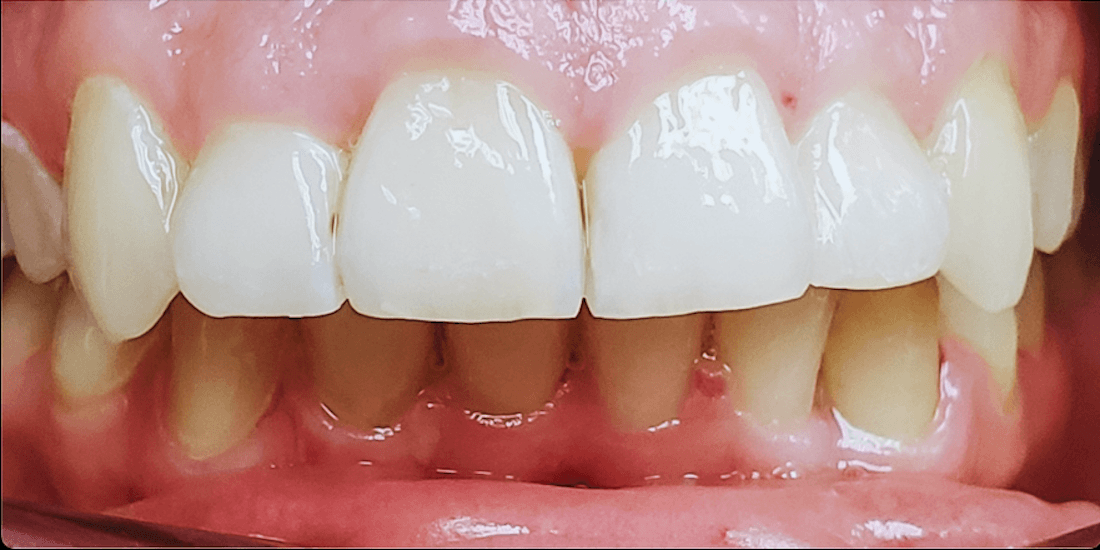
6 Months: Upper Braces
6 Months: Upper Braces
Return to Smile Gallery
Previous
Next
Related Services:
Orthodontics
Click image to see a larger picture
Before
After
Have Questions? Get in Touch
Contact Us
If you have difficulty using our website, please
email us
or call us at
(914) 437-7676
View the
ADA Accessibility Statement
Turn on ADA Views
OK!
×
×
Contact Us Today
Give Us A Call
Roshe Dental Group -
(914) 437-7676
Send Us an Email
Book Online
Contact Us
Ready to Schedule an Appointment?
Book Online
Have Questions? Contact Us:
Required Field
Your Name:
Phone:
Email:
Are you a new patient?:
Are you a?
New Patient
Current Patient
How would you like us to contact you?
Please choose
Email
Call
How did you hear about us?
Please choose
I'm an existing patient
Google/Bing
Mailer
Word of mouth
Social media
Other
Who Referred You?:
Appointment Preferences
Monday
Tuesday
Wednesday
Thursday
Friday
Your Message:
This site is protected by reCAPTCHA and the Google
Privacy Policy
and
Terms of Service
apply.
Sending...
×
This Patient's Experience
Loading Testimonial...
Loading Case...